トップへ » 診療について » 症例集 » 痛くなく綺麗な虫歯治療
症例集一覧
歯を健康的に白くしたい<ホワイトニング症例>
銀歯が気になって笑えない<審美歯科症例>
虫歯を治したいけど、痛いのは怖い<一般歯科症例>
歯がぐらぐらして抜けてしまいそう<歯周病症例>
入れ歯やブリッジで咬む力が弱い...<インプラント症例>
治療したはずなのに、痛みが残る<根管治療症例>
歯並びが悪いのがコンプレックス<矯正歯科症例>
顔を打って歯が抜けてしまった<口腔外科症例>
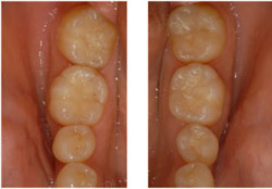
虫歯治療(MI)の症例



- <治療前>
- 金属で治療した歯が目立ちます。
- <治療後>
- 最小限削るため治療のダメージが少なく、治療の跡がわかりません。






