トップへ » 診療について » 症例集 » 抜かない歯周病治療
症例集一覧
歯を健康的に白くしたい<ホワイトニング症例>
銀歯が気になって笑えない<審美歯科症例>
虫歯を治したいけど、痛いのは怖い<一般歯科症例>
歯がぐらぐらして抜けてしまいそう<歯周病症例>
入れ歯やブリッジで咬む力が弱い...<インプラント症例>
治療したはずなのに、痛みが残る<根管治療症例>
歯並びが悪いのがコンプレックス<矯正歯科症例>
顔を打って歯が抜けてしまった<口腔外科症例>
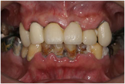
歯周病の症例1(抜かないための治療)



- <治療前>
- 重度歯周病です。
- <治療後>
- 大半の歯を保存し、マグネット義歯を装着しました。
歯周病の症例2(抜かない治療)



- <治療前>
- 歯周病菌は全身を侵します。
- <治療後>
- 治療の大半は保険が適用されます。
治療後も定期的なメンテナンスが必要です。
歯周骨再生療法GTRの症例



- <治療前>
- 歯を支える骨が根の先まで黒くなくなっています。
- <治療後>
- 骨移植、エムドゲイン(厚生省認可の薬)で骨を再生させました。
歯周組織再生療法GTRの症例1(根分岐部病変)



- <治療前>
- 歯周病で奥歯の骨がなくなり、咬むと痛みがあります。進行すると抜歯です。
- <治療後>
- 根分岐部病変が再生療法によって治癒しています。
歯周組織再生療法GTRの症例2



- <治療前>
- 歯周病で化膿した場所の骨が溶けています。進行すると抜歯です。
- <治療後>
- 矯正治療と再生治療で治癒しています。
歯周組織再生療法の症例1



- <治療前>
- 抜歯したところの歯肉が痩せています。
- <治療後>
- 骨と歯肉を移植しボリュームアップしました。
歯周組織再生療法の症例2



- <治療前>
- 歯周病で歯がなくなり、骨も歯肉も痩せています。
- <治療後>
- 骨と歯肉を移植して、健康な歯を削らずにインプラントを行いました。






