トップへ » 診療について » 症例集 » インプラントの特徴
症例集一覧
歯を健康的に白くしたい<ホワイトニング症例>
銀歯が気になって笑えない<審美歯科症例>
虫歯を治したいけど、痛いのは怖い<一般歯科症例>
歯がぐらぐらして抜けてしまいそう<歯周病症例>
入れ歯やブリッジで咬む力が弱い...<インプラント症例>
治療したはずなのに、痛みが残る<根管治療症例>
歯並びが悪いのがコンプレックス<矯正歯科症例>
顔を打って歯が抜けてしまった<口腔外科症例>
インプラントの症例1(特徴:健康な歯を削らない)



- <治療前>
- さし歯が折れて来院されました。
- <治療後>
- 従来は、折れた歯の前後の健康な歯を削ってブリッジにしていました。
インプラントは健康な歯を削りません。
インプラントの症例2(特徴:自分の歯と同じように食べられる)



- <治療前>
- 奥歯がなく、食べることが不自由でした。
- <治療後>
- インプラント後、何でも美味しく食べることができるようになりました。
インプラントの症例3(特徴:歯周病を治す手段になる)



- <治療前>
- 重度の歯周病と虫歯が発生しています。
- <治療後>
- インプラントは歯周病治療が前提ですが、歯周病を治すにもインプラントを使用します。
インプラントと総合治療の症例



- <治療前>
- 治療の目的は人生を豊かにすることです。
- <治療後>
- 歯周病、根尖性病変、虫歯、咬み合わせ、審美性、すべてを総合的にアプローチすることが必要です。
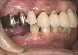
不良インプラントの症例



- <治療前>
- 他医院で行われたインプラントの金属が見えています。
- <治療後>
- 不良インプラントを除去し、奥歯にもインプラントを行い、総合的に再治療しました。
インプラントの難症例



- <治療前>
- 非常に難易度の高いインプラント治療です。
- <治療後>
- 入れ歯では味わえない満足感を得ることができました。
奥歯のインプラント症例



- <治療前>
- 奥歯がなくなり、食べることに不自由していました。
- <治療後>
- インプラントで違和感なく、何でも美味しく食べることができます。
インプラントマグネット入れ歯の症例1



- <治療前>
- いつまで合わない入れ歯で悩みますか?
- <治療後>
- インプラントにしたことで、当然ですが何でも食べることができます。
インプラントマグネット入れ歯の症例2



- <治療前>
- 入れ歯が痛くて食べられません。
あごの骨が極度に吸収しており、入れ歯の難症例中の難症例です。
- <治療後>
- インプラントを使用し、入れ歯を作りました。現在では、何でも食べられます。
インプラントと入れ歯の症例1(咀しゃく障害)



- <治療前>
- 多くの歯がなくなって入れ歯が合いません。
- <治療後>
- 上は総義歯、下はインプラント。
何でも食べられるようになりました。
インプラントと入れ歯の症例2



- <治療前>
- 上下入れ歯が入っていますが、重度歯周病で歯が抜けそうです。
- <治療後>
- 下あごはすべてインプラントです。
下あごがインプラントでしっかりすれば、上あごの義歯は自然としっかりします。






